关爱记忆,守护银发:飞鱼影像为阿尔茨海默老人保驾护航

时间:2025-09-19 17:21

早发现、早诊断、早干预,用科技守护爱的记忆

9月21日是“世界阿尔茨海默病日”,9月为阿尔茨海默病月,这是一个旨在提高公众对阿尔茨海默症认识的特殊日子。随着我国人口老龄化程度加深,阿尔茨海默病已成为困扰许多老年人健康的重大挑战,并给家庭和社会带来沉重负担。

一、阿尔茨海默病的前期表现

阿尔茨海默病是一种起病隐匿、进行性发展的神经系统退行性疾病,俗称“老年痴呆”。在疾病前期,患者可能已经出现了一些轻微的改变,但往往被误认为是正常的“老糊涂”而忽视。

​​早期症状主要包括:记忆力轻度受损,特别是近期记忆减退,忘记刚刚说过的话或做过的事;学习能力下降,重复提问相同的问题;语言表达困难,找不到合适的词汇;视空间障碍,在熟悉的地方迷路;性格改变,变得冷漠、焦虑或易怒。

这些症状最初可能很轻微,但会随着时间推移而逐渐加重。许多患者自己没有意识到这些变化,往往是被家人或朋友首先注意到。

二、飞鱼影像核磁的检查与帮助

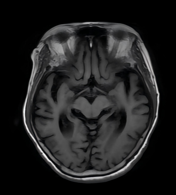
面对阿尔茨海默病的挑战,早期发现和诊断至关重要。飞鱼影像提供的核磁共振(MRI)检查在这方面发挥着不可替代的作用。

1、精准发现早期病变

MRI具有无创、无辐射、空间分辨率高的独特优势,是评估阿尔茨海默病的最佳影像检查方法之一。它可以达到毫米级和亚毫米级的分辨率,精细地描绘大脑中神经结构的变化。

阿尔茨海默病最早影响的脑区之一是海马,这是参与学习和记忆的重要脑区。飞鱼影像的核磁检查能够智能化测量海马体积,观察内侧颞叶萎缩情况,发现早期、轻微的大脑变化。

2、鉴别诊断排除其他疾病

MRI可以帮助医生排除其他疾病造成的痴呆,如脑肿瘤、脑积水等。

3、多模块先进技术综合评估

飞鱼影像采用多模块先进的MRI技术为阿尔茨海默病评估提供全面信息:结构磁共振(sMRI)可测量大脑皮层的体积和厚度来反映结构变化;弥散张量成像(DTI)能有效观察和追踪脑白质纤维束,直接从微观水平反映神经元功能的改变;静息态功能磁共振(r-fMRI)可以探测到局部脑区神经元活动情况。

4、治疗监测与评估

MRI不仅用于诊断,还能为治疗过程提供动态监测。随着针对阿尔茨海默病的新药不断开发,MRI可以评估治疗效果和监测药物可能的不良反应。

三、关爱心语

在这个阿尔茨海默病关爱日,让我们共同关注老年大脑健康,用行动表达对长辈的关爱:

​  祝愿所有老人:健康长寿,身体健康,心情愉快,享受天伦之乐。

​​科学预防,早诊早治,永远不会太早,也不会太晚!​​